经典案例分析
在影像学世界中,双轨征(tramtracksign)或铁轨征/铁轨外观(railwaytracksign/tramlineappearance)常被用于描述形似两条平行线的征象。在柱状支气管扩张中,增厚的支气管壁在CT图像中如同两条平行轨道,形成最为人所知的双轨征。

双轨征的原形:平行轨道[1]
其他被医学界赋予双轨征美名者还见于Sturge-Weber综合征的脑皮质钙化(CT)、视神经脑膜瘤的视神经病变(MRI)、肥大性肺性骨关节病的骨骼病变(放射性核素骨显像)和痛风石(超声)等疾病的影像学表现。
那么,在胸部影像学中,双轨征这种特殊的征象仅见于支气管扩张症吗?请继续欣赏以下案例中出现在胸部的并驾齐驱的平行轨道。
【支气管扩张症】这是LaiYC在BMJ子刊PostgradMedJ中发表的一例既往体健的43岁女性的案例[2]。患者无吸烟史,5年来患者有慢性咳嗽和进行性劳力性呼吸困难,间断咳脓痰。
此次患者因咯血就诊,胸片显示双下肺(尤其是右肺)浸润影,伴多发环状阴影。以肺炎收入院后,胸部CT显示左下肺可见增厚的支气管壁相互平行,管径一致,形成典型的双轨征(长箭头)。此外,双肺可见多发囊性支气管扩张(短箭头)、印戒征与气-液平面。

43岁女性的胸片示双下肺浸润影,伴多发环状阴影
胸部CT示左下肺双轨征(长箭头),双肺可见多发囊性支气管扩张、印戒征[2]
上述影像学表现符合支气管扩张症。给予静脉滴注左氧氟沙星750mg5天后,患者的咯血和咳嗽好转。患者出院后继续口服克拉霉素3个月,定期门诊随访。
胸部CT是诊断支气管扩张症的金标准,典型影像学征象为支气管直径超过毗邻的肺动脉,胸膜1cm以内仍可见支气管影。双轨征实际上可视为直径未逐渐变细的支气管延伸至外周而形成的征象。
此外,印戒征(管径通常超过1.5倍)、支气管周围增厚和粘液栓等是支气管扩张症的常见影像学表现。囊性支气管扩张还可呈“葡萄串”外观。

另一例支气管扩张症患者的胸部CT:印戒征(↑)、双轨征(Δ)、“葡萄串”外观[1]
【以支气管扩张为表现的其他疾病】不难理解的是,以支气管扩张为表现或与之相关的其他疾病亦可出现双轨征,包括伴支气管扩张的慢性阻塞性肺病、支气管炎/细支气管炎、间质性肺病、囊性纤维化、过敏性支气管肺曲霉病(ABPA)、Kartagener综合征和先天性纤毛不动综合征及免疫缺陷病等。
举个例子,以下分别是两例囊性纤维化患者的胸部CT,其中均可见多发支气管扩张和双轨征[3,4]。

两例囊性纤维化患者的胸部CT:多发支气管扩张和双轨征[3,4]
仔细观察胸片时也可能发现双轨征,提示支气管壁明显增厚。例如,下图是一位慢性支气管炎患者的胸片,箭头指向右肺门附近双轨征,此外可见间质纹理增粗[5]。

慢性支气管炎患者的胸片:右肺门附近双轨征(箭头)[3,4]
支气管炎相关支气管壁增厚形成的双轨征在胸部CT中更为直观,有时也可见粘液栓[6]。

支气管炎引起的支气管壁增厚形成的双轨征(黄箭头),支气管内的粘液栓(黑箭头)[6]
对于人类免疫缺陷病毒(HIV)相关的细菌性细支气管炎,患者的胸片可能正常或显示双肺对称性下叶支气管壁增厚,呈环状阴影,或出现与支气管扩张症相似的双轨征。
例如,以下是一例HIV阳性的细菌性细支气管炎患者。该患者是一名36岁男性,以咳嗽为主要症状,CD4计数>400/μL,胸片可见支气管周增厚(箭头),胸部CT显示支气管扩张、小叶中心结节性、树芽征和马赛克征[7]。

胸片可见支气管周增厚、双轨征(箭头)
胸部CT显示支气管扩张[7]
【急性肺栓塞】在胸部影像学中,除了支气管增厚可能形成双轨征,肺动脉同样可以形成与平行轨道外观相似的征象,常见于急性肺栓塞。虽然国内学者将这种征象的中文名称为双轨征,但国外学者多称之为railwaytracksign,以区别于支气管扩张症的双轨征(tramtracksign)。
急性肺栓塞引起双轨征,实际上是由于被血栓栓塞的肺动脉呈现出部分充盈缺损,即血管腔中心的栓子不显影,栓子外周有造影剂填充而显影。

急性肺栓塞患者的冠状位CT图像:肺动脉双轨征[7]
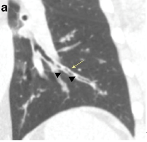
以下CT图像来自于一例高速驾驶摩托车后车祸导致脊髓损伤性截瘫和低氧血症的42岁男性。CT显示双侧肺动脉中心肺动脉栓塞(粗长箭头)、亚段肺动脉栓塞(细长箭头)、右下叶上段肺梗死(短箭头)和左侧舌下段肺动脉双轨征(短箭头)[8]。

低氧血症的42岁男性:左侧舌下段肺动脉双轨征(短箭头)[8]
值得一提的是,由于慢性肺栓塞时血管腔内血栓位置偏离中心,这类患者的CT图像中通常难以观察到肺动脉双轨征[3]。
综上所述,尽管双轨征是支气管扩张症的特征性胸部CT征象,但双轨征还可见于伴支气管扩张的慢性阻塞性肺病、支气管炎/细支气管炎、间质性肺病、囊性纤维化、ABPA、Kartagener综合征、先天性纤毛不动综合征和免疫缺陷病等多种与支气管扩张症相关的疾病。
此外,在胸部影像学表现中,除了支气管相关双轨征,在胸部并驾齐驱的平行轨道还见于急性肺栓塞导致的肺动脉双轨征。
参考资料:
[1],Tram-TrackingSign,StringofPearls,andClusterofGrapes[M]//,2014.
[2];92(1089):423-4.doi:10.1136/:26917701.
[3]ChiarenzaA,EspostoUltimoL,FalsaperlaD,TravaliM,FotiPV,TorrisiSE,SchisanoM,MauroLA,SambataroG,BasileA,VancheriC,,symbols,andnaturalisticimages:;10(1):114.doi:10.1186/:31802270;PMCID:PMC6893008.
[4]RajuS,GhoshS,:;151(6):1356-1374.doi:10.1016/:28212835.
[5]:ChestRadiology[M].2020.
[6]MariniT,HobbsSK,ChaturvediA,:;8(1):141-153.doi:10.1007/:27966195;PMCID:PMC5265201.
[7]AllenCM,Al-JahdaliHH,IrionKL,AlGhanemS,GoudaA,/;5(4):201-216.doi:10.4103/1817-1737.69106
[8]PatelS,;185(1):135-49.doi:10.2214/:15972414.
本文首发:医学界呼吸频道
【版权声明】本平台属公益学习平台,转载系出于传递更多学习信息之目的,且已标明作者和出处,如不希望被传播的老师可与我们联系删除




















